Hydrodissection

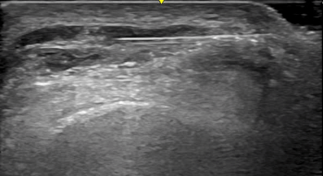
Ultrasound image of an abnormal muscle receiving hydrodissection treatment.
Ultrasound image of an abnormal muscle receiving hydrodissection treatment.

Nerve and muscle hydrodissection is a gentle, non-surgical treatment that helps reduce pain and improve how you move. It works by freeing nerves or muscles that are stuck or irritated. Using an ultrasound to see inside your body, we carefully inject a small amount of sugar water around the tight area. This helps create space, lowers swelling, and lets the nerve or muscle move normally again.

This treatment is great for problems like pinched nerves, tight muscles, or pain that didn’t get better with physical therapy. It’s safe, doesn’t need medicine or surgery, and can help you feel better and move more easily.

A mountain logo for North Tacoma Musculoskeletal and Regenerative Medicine